医療において、診断技術の選択は非常に重要です。特にCTとMRIの違いと料金について理解することは、私たちの健康管理において欠かせません。どちらの検査も体内の画像を取得するための手段ですが、それぞれの特性やコストには大きな違いがあります。
CTとMRIの基本知識
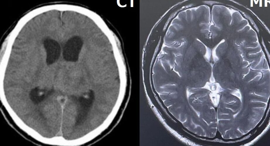
CTとMRIは、医療診断において非常に重要な役割を果たします。どちらの技術も体内の画像を生成しますが、それぞれ異なる方式で診断に使用されます。
CTの概要
CT(コンピュータ断層撮影)は、X線を使用して体の内部を断面画像として表示します。CT画像は、骨や臓器の詳細な情報を迅速に提供します。特に以下の点が特徴です:
- 迅速性:CTは数分で画像を取得でき、緊急患者の診断に適しています。
- 解像度:骨の構造を詳細に示すため、骨折や出血の評価に優れています。
- コスト:CTの料金は通常、MRIよりも低い傾向があります。
MRIの概要
MRI(磁気共鳴画像法)は、強力な磁場と無害な電波を使用して体内の画像を生成します。MRIは、ソフトティッシュの映像化が得意です。以下のポイントが重要です:
- ソフトティッシュの評価:MRIは脳や筋肉、内臓の病変を高精度で検出します。
- 放射線なし:放射線を使用しないため、妊婦や子供にも安心して利用できます。
- 時間:スキャンには通常20分から1時間かかり、時間がかかることが多いです。
CTとMRIの違い
CTとMRIは、異なる画像取得技術を利用して体内の画像を生成する。これらの技術はそれぞれ特性があり、用途も異なる。
画像取得方法の違い
CTはX線を使用して断面画像を作成する。数秒で画像を取得し、迅速な診断が可能。MRIは強力な磁場と無害な電波を使用するため、放射線の影響を受けない。画像を取得する際に身体全体をスキャンするため、詳細なソフトティッシュの情報が得られる。
利用される医療分野の違い
CTは骨折や内臓の損傷の診断に優れている。緊急の場合に迅速な結果が必要な場面で利用される。一方、MRIは腫瘍や神経系疾患の評価に多く用いられる。ソフトティッシュや神経の詳細な情報を必要とする医療分野で特に有効。
CTとMRIの料金比較
CTとMRIの料金には明確な違いがあります。一般的に、CTスキャンの料金はMRIよりも安価です。検査の目的や技術の差が、料金に影響を与えています。
保険適用の有無
保険適用の有無も料金に影響します。多くの健保プランは、CT検査をカバーする傾向がありますが、MRIは条件が厳しいことがあります。具体的には次のポイントに注目します。
クリニックごとの料金差
クリニックによって料金も異なります。CTやMRIの料金は、地域や施設によってさまざまです。例えば、都市部の病院では、設備やサービスの質が影響し、高額になることがあります。
受診の際の考慮すべき点
CTとMRIの受診を考える際、いくつかの重要な点がある。まず、患者さんの症状に応じて適切な検査を選ぶことが大切だ。例えば、急性の外傷や骨折が疑われる場合、CTが迅速に診断を行える。
次に、検査の費用についても注意が必要だ。一般的に、CT検査の料金は約1万〜2万円、MRIは約2万〜5万円程度となる。しかし、クリニックによって料金は異なるため、事前に問い合わせることを推奨する。
また、保険適用の可能性も考慮すべきだ。CT検査は急性症状に基づき保険適用になることが多い。一方、MRIは医師の診断や特定の症状が基準となり、条件を満たさない場合には自己負担となることがある。
さらに、検査の所要時間も重要で、MRIは通常20分から1時間かかる。このような時間的制約を承知しておくことで、スケジュールの調整がスムーズになる。検査内容や受診時間によって料金や待ち時間が変わることもあるため、注意が必要だ。
結論
CTとMRIの違いや料金について理解することは私たちの健康管理において非常に重要です。各検査の特性を考慮しながら、症状に応じた適切な選択をすることで、より効果的な診断が可能になります。
特に急性の症状がある場合はCTが迅速な診断を提供し、ソフトティッシュの詳細な評価が必要な場合はMRIが適しています。料金面でもCTが一般的に安価であるため、経済的な選択肢としての価値も見逃せません。
受診前にクリニックに問い合わせ、料金や待ち時間を確認することを忘れずに行いましょう。これにより、より良い医療体験を得ることができるでしょう。
